院長挨拶
診療案内
交通案内
治療内容のご案内
お問合せ
Q&A
個人情報保護方針
治療内容のご案内
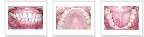
■治療前
左下第1大臼歯の虫歯は神経まで達していました。全体に虫歯が多く存在し、このままでは咬合崩壊の危険性がある状態でした。


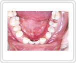
■治療後
まず痛みを取り除き、残せる歯は根の治療をし、残せない歯は抜歯という方向で治療しました。
結果的には、左上第2大臼歯のみ抜歯を行い、左上第1、第2小臼歯、左下第1大臼歯、右上第2大臼歯は、白金加金土台装着後、クリセラ冠をかぶせました。
右上犬歯は審美性を考慮し、白金加金土台装着後、ウォルセラム冠をかぶせました。右上第1小臼歯、右下第1大臼歯、左下第2小臼歯、第2大臼歯はクリセラインレーで修復しました。


森川歯科医院
東京都大田区中央3-1-7 キャステル中央101
TEL:03-5742-4182
個人情報保護方針
Copyright (C)Morikawa Dental Clinic.All Rights Reserved.
森川歯科医院
東京都大田区中央3-1-7
キャステル中央101
TEL:03-5742-4182
Copyright (C)Morikawa Dental Clinic.All Rights Reserved.
院長挨拶
診療案内
交通案内
治療内容のご案内
お問合せ
Q&A
個人情報保護方針